梁超敏醫生
香港大學牙醫學院
副院長
修復齒科專科醫生
訪問:王榮珍女士
簡介:
一些癌症治療會為康復者帶來牙齒和口腔方面的後遺症,影響他們日後的生活。在這篇訪問中梁超敏醫生和我們詳細講解常見的護理問題。
第一部份——香港大學牙齒學院及菲臘牙科醫院
第二部份——口腔牙齒的結構
第三部份——牙齒的重要性
第四部份——癌症和癌症治療對牙齒和口腔造成的傷害:從「治療方法」角度來看
第五部份——進行癌症治療前需要做的牙齒檢查/處理
第六部份——食物方面的選擇
第七部份——給照顧者的話
王:了解一些癌症治療會為康復者帶來一些牙齒和口腔的問題,可影響他們他們日後的生活。今天我很高興請到梁超敏醫生和我們講解一下。
梁醫生非常感激你接受我的訪問。
梁:不要客氣。
王:首先可否介紹一下香港大學牙醫學院和菲臘牙科醫院的工作?
梁:香港大學牙醫學院是在1982年成立的,負責培訓牙醫,而菲臘牙科醫院就是我們的培訓基地。
王:我們現在身處一個名叫「先進牙醫學研究所」,可否和我們介紹一下。
梁:這是我們一項新的設施,是為碩士生提供臨床培訓的。
王:請問普通市民可不可以來看診?
梁:可以的,他們可以由牙醫或醫生轉介,又或者是自行上網登記。

王:可不可以介紹一下牙齒和口腔的結構。
梁:成人有32隻牙齒,包括上下排各有四隻門牙、左右各有一隻犬齒,兩隻小臼齒和三隻大臼齒。其中第三隻大臼齒(即智慧齒)不一定會長出來。
王:你剛才解釋的是「整副牙齒」的結構,可不可以解釋「一隻」牙齒的結構?
梁:牙齒最外層是琺瑯質,是牙齒最堅硬嘅部分,主要由礦物質組成。
琺瑯質下面是象牙質,象牙質由礦物質與有機物組成。象牙質硬度低於琺瑯質,它和琺瑯質不同的地方是它會不斷增長。象牙質裏面有很多微小的管狀結構,藏著連繫牙髓的牙髓組織,這些牙髓組織包括神經、血管、淋巴及其他組織,令我們的牙齒有感覺,亦為牙齒提供養份。
牙腳部分則有牙骨質,用來保護象牙質及連繫牙齒到牙槽骨。

(鳴謝:衛生署Tooth Club 網站)
王:如果一個人有好的護齒習慣,正常牙齒可以維持到什麼年齡依然健康?
梁:如果有良好的護齒習慣,正常使用牙齒,牙齒可以用到很老,很多八、九十歲的老人家的牙齒依然非常健康。當然日常損耗牙齒都會有相當程度的磨蝕。
由於象牙質不斷增生,而外面的琺瑯質也會因使用而損耗,年長時候牙齒顏色會比較黃一點。
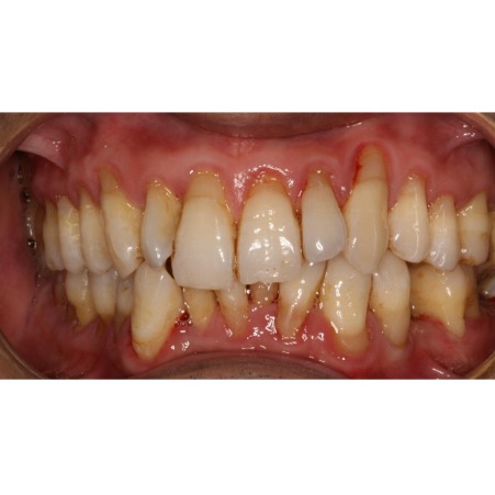
梁:口腔方面,牙肉收縮 (gingival recession) 會較容易令象牙質或牙腳露出來、產生敏感的感覺。口水分泌也有機會減少。
牙肉收縮(gum recession)

王:當然了解一個人沒有牙齒便不能吃東西。除此之外,牙齒還有其他方面的重要性嗎?
梁:
牙齒對外觀非常重要,這不單是因為沒有牙齒外觀不好看,而是牙齒連同牙槽骨幫助我們承托口唇及面部肌肉。沒有牙齒面部輪廓就會凹陷。
梁:牙齒們有它特定的位置——牙齒缺失、其他牙齒會移位,齒隙擴大,都會令清潔更加困難,增加發生蛀牙和牙週病的機會。

梁:除了進食之外,口腔在說話方面亦有很重要的角色。和人交談時發音精準很重要。牙齒(尤其是前排牙齒)對於發音非常重要。
王:如果牙齒出現問題、又或是口腔出現問題,它們會怎樣互為影響?
梁:口腔裹面有很多細菌。口腔衛生差,厭氧細菌會增加,這些細菌會破壞牙週組織。
其他一些細菌會引致蛀牙。
另外抵抗力較弱的病人口腔裹面的真菌會增加,造成口腔發炎。這些細菌及真菌亦可能間接引致肺部感染。
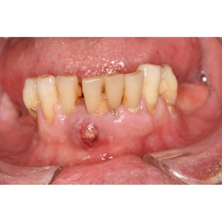
牙齒出現嚴重的蛀牙或牙週病會引致牙齒有瘡、含膿,這會引致疼痛。

牙週病引致牙膿瘡
牙齒亦可斷裂。

牙裂
最終牙槽骨收縮導致牙齒脫落。

王:我們先看一看基本資料。
治療癌症的方向主要分為兩大類:
顧名思義,局部治療就是在受癌細胞影響的地方(或器官)進行直接的治療,從而殲滅癌細胞。
方法包括:
早期的癌症如果能夠通過局部治療而達到根治性效果,那麼就是最理想不過。
但是如果癌細胞已經從原發位進入了血液循環系統從而擴散至其他器官或內臟,那就需要系統性治療——亦即是通過血液循環系統令藥物能夠到達全身不同部位從而殲滅癌細胞。
方法包括:
*現在治療癌症通常都不是用單一治療方法,而是選擇不同治療的組合去達致最佳效果,這就是混合治療(Combination Therapy)。
王:想請教梁醫生,什麼癌症治療方法會對牙齒和口腔造成傷害?
梁:
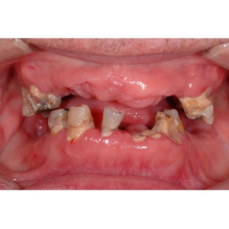
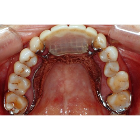
如果手術治療包括切除上顎骨或下顎骨,病人在事前很多時都要先脫掉部分牙齒,手術後亦要做重建手術及使用不同形式的假牙去修復缺失的牙齒。
如果手術包括切除舌頭,在設計假牙的時候,也要包括修復缺失了舌頭的功能。
如果放射性治療包括頭頸部分,很多時口水腺會受到破壞,口水的質和量都會較差,這會對口腔健康造成不同的負面影響——例如容易蛀牙,牙肉發炎等情況。

鼻咽癌患者——蛀牙
另外在放射治療期間,病人口腔可能會有潰瘍、痛楚的感覺,通常這些負面影響會在放射治療完成之後慢慢改善。
但口水線如被嚴重破壞,病人會長期覺得口乾,口腔有灼熱的感覺。
另外視乎放射治療的方式,牙槽骨會受到不同程度的永久損害。
**如果不是頭頸部, 放射治療對牙齒和口腔影響相對低。
化學治療期間病人的免疫系統受到干擾,口腔會較容易受感染。例如口腔真菌數量增加,令戴假牙的人士上口腔較容易受到感染——口腔黏膜炎、會有灼痛的感覺。

牙托性口炎
王:了解一些癌症病人在進行癌症治療之前,要先做牙齒檢查,同時按需要處理。可不可以解釋一下?
梁:癌症治療可是一個頗長的過程,我們不希望病人在進行治療期間口腔、牙齒出現其他問題,盡量希望幫助他們維持口腔於健康狀態。洗牙可以幫助提升口腔的衛生狀況;如果有蛀牙則要先修補好避免日後惡化變成牙髓炎。
視乎放射治療的方式,牙槽骨可受到不同程度的永久損害。如果於放射治療後脫牙,我們擔心治療會導致牙骨感染,這是一個很嚴重的狀況。
所以一般在做放射治療之前,牙醫會將病人的壞牙一次過脫掉。
王:我們在另外一篇訪問中會詳細討論不同後遺症和可以如何處理。
王:病人和照顧者最關心的課題,就是在面對各種的後遺症,他們應該在飲食方面如何配合?
例如是否不應該吃酸性或甜的食物令牙齒情況惡化或是引來不舒服的感覺?
梁:吃甜的食物是可以的,不過我們會告訴病人如果要吃甜食,最好是連同飯餐一起食,而不應該是在飯餐之間吃,因為這會增加進食的次數對牙齒健康造成不良的影響。
有些人會問有口乾的患者,可不可以吃一些酸性的食物去增加口水分泌。其實我們是不建議的,因為酸性食物會將琺瑯質「去礦物化」,牙齒容易蛀或者被磨蝕。
如果口腔有灼痛的感覺,我們建議病人不要吃刺激的食物(例如辣的食物),因為這樣會加劇口腔痛楚。

王:我們這本書是專為照顧者而設的,請問從他們的角度可以如何幫助病人?
梁:照顧者可以幫助病人準備適當的食物和監督病人維持口腔衛生。例如如果病人咀嚼功能不好,那麼食物就需要切得細一點和煮得冧一點。另外照顧者要勤於幫助病患者清潔口腔和確保活動假牙的清潔。
王:今天非常感激你接受我訪問,分享了那麼多。
梁:不要客氣。
(於2023年10月定稿)
