資料提供/更新:黃國全醫生
香港中文大學醫學院矯形外科及創傷學系
名譽臨床副教授
資料整理:黃兆謙醫生
盧彥樺女士
簡介:
在這篇文章中黃國全醫生和我們詳細解釋軟組織惡性肉瘤的各方各面,包括種類、徵狀、檢測方法,治療方法(特別是外科手術)、治療後的副作用和可以如何處理等。希望能夠令病人和照顧者有足夠的知識去和醫生及其他醫療團隊成員討論,從而面對和克服疾病。
(一)有關器官/系統及分類
(二)軟組織惡性肉瘤在香港的病發情況
(三)病因
(四)病徵
(五)一般診斷方法
(六)治療方法
(七)軟組織惡性肉瘤手術治療
(八)手術治療前的準備
(九)手術可能發生的併發症和後遺症
(十)治療後的持續監察及復發的處理
軟組織肉瘤(soft tissue sarcoma)是指人體的結締性軟組織長出惡性細胞的一種癌症。軟組織包括脂肪、纖維、肌肉、關節附近組織、血管或神經等。

不同類型的軟組織會產生不同肉瘤,例如:
已知道有超過50種以上類型的細胞可以生成為肉瘤。所長出的一種肉瘤。在不同的軟組織內所生的肉瘤亦不同。它們亦可在身體任何部位生長,最常見的是在肢體,其次是軀幹、頭頸及後腹腔。
軟組織腫瘤可分為良性或惡性。
如果腫瘤是良性的話,他們一般不會生長太大(通常小於5 厘米)。如果是惡性的話,可以長至很大、生長速度亦較快。生長速度越快則腫瘤毒性越高、侵略性越大。
軟組織肉瘤主要經血液轉移到身體其他部份,例如肺、骨等。少部分肉瘤亦可經淋巴轉移。
醫生通常會按照腫瘤細胞類型和其侵入性分為「低度」、「中度」和「高度」惡性。

軟組織惡性肉瘤與其他癌症不同——其他癌症多是實質固態瘤(solid tumour),是由癌症惡性細胞的來源來區分,例如上皮細胞 (epithelial cells) 產生的稱為癌症 (carcinoma),如肺癌、乳癌、肝癌、腸癌等;軟組織惡性腫瘤則是從結締性、非上皮細胞(non-epithelial cells) 產生的,稱為軟組織惡性肉瘤 (sarcoma)。
不同軟組織衍生的惡性細胞有不同特性,所以軟組織惡性腫瘤是一種頗為複雜的疾病。

軟組織肉瘤是一種較少見的腫瘤,約佔所有惡性腫瘤的百分之一。
根據2018 香港癌症資料統計中心數據顯示軟組織肉瘤新症有258宗,佔全港癌症2.3%。
由於軟組織肉瘤的個案不多,在香港公營醫療系統下,只有三間醫院提供肢體軟組織肉瘤治療:
・威爾斯親皇醫院;
・伊利沙伯醫院和;
・瑪麗醫院。

現在醫學界還不能確切指出軟組織惡性肉瘤的起因,大多數軟組織肉瘤的致病機理不明。但一些風險因素 (risk factors) 包括:
一 由放射治療誘發之軟組織惡性肉瘤 (Radiotherapy induced sarcoma)
之前接受過放射治療的人士患上軟組織惡性肉瘤的機會較高,這是因為放射治療可能引致周遭的細胞產生變異。所以如果醫生得悉病人以前曾接受過放射治療(例如因治療鼻咽癌、乳癌)一定會詳加詢問。近年來由於醫學越來越進步,所以由放射治療而引致的軟組織惡性肉瘤亦較以前少了;及
一 以下各種因素可能會增加患病機會,但數據顯示個案很少,一般認為成因屬於多因性的(Multifactorial):

軟組織惡性肉瘤早期沒有明確症狀,一發生的時候就通常已經頗為嚴重。
病徵包括:

診斷方法包括以下:
- 超聲波檢查(ultra sound) — 超聲波是重要的診治方法,因為它對偵察軟組織特別有效;

- 磁力共振掃描(MRI) —-利用磁力共振去偵察惡性細胞的位置和附近非惡性細胞的情況,以便將來進行手術時可以準確切割;及
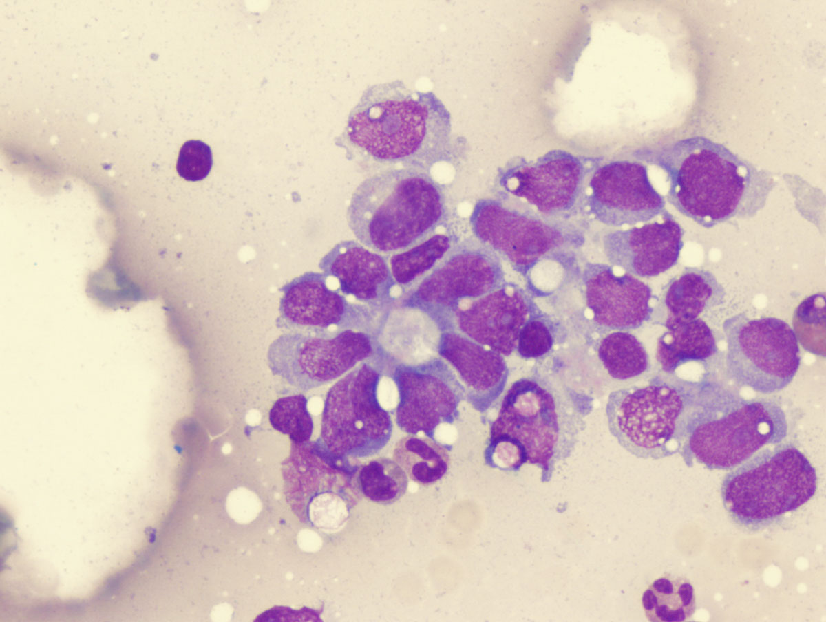
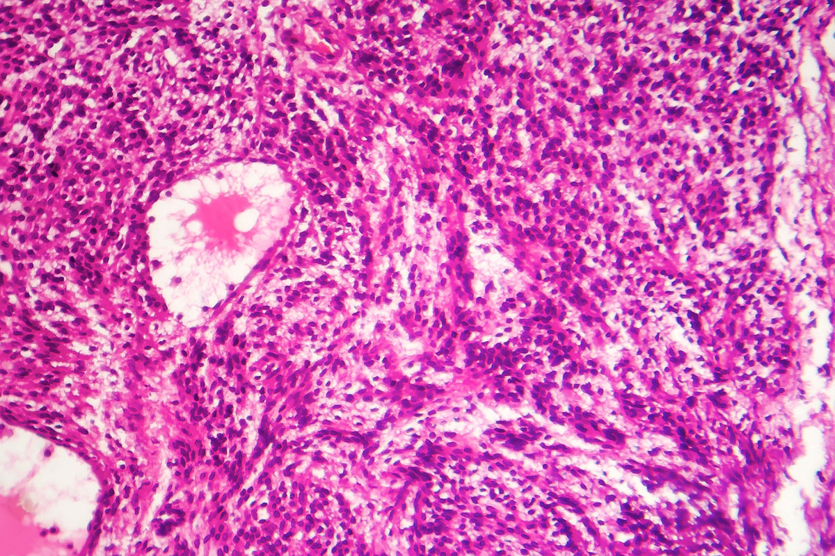
- 組織檢查(Tissue biopsy) 作病理診斷— 這是醫生利用超聲波指引而進行抽針(ultrasound guided tissue biopsy ), 用的針較一般為粗(大概 2 毫米) 。同時為防止腫瘤細胞殘留於抽針路徑,之後手術時會一併切除抽針路徑的組織。
病理診斷包括傳統顯微鏡鑒別腫瘤細胞,亦需要特別檢測方法,如免疫化學檢測法或基因組測試,才能作出正確診斷。
胸部電腦掃瞄和骨掃瞄是用來檢測肉瘤細胞有沒有經血液擴散到身體其他部位;而正電子斷層掃瞄(一種功能性顯像的核醫學臨床檢查的成像技術)則是用來檢測肉瘤擴散程度。
根據肉瘤大小 、有沒有淋巴轉移或遠程擴散 分為四期 (TNM classification according to the American Joint Committee on Cancer (AJCC))
但現在醫生向病人解釋時,較多會用「低度」、「中度」和「高度」惡性腫瘤來分級和有沒有遠程擴散來分期。
(註: Justin M. M. Cates. The AJCC 8th Edition Staging System for Soft Tissue Sarcoma of the Extremities or Trunk:
A Cohort Study of the SEER Database. J Natl Compr Canc Netw 2018;16(2):144–152)

由於軟組織肉瘤有多種組織型態和可以發生在身體不同部位,醫生會根據病人的肉瘤類型、惡性程度、分期,和當事人的健康情況來建議一個適合他的治療方案。
現在多是用跨專科團隊會診 (multi-disciplinary approach) ,由不同的專科醫生包括外科醫生、腫瘤科醫生、影像診斷科醫生、病理科醫生等一起討論病人的個案,在考慮所有因素之後才向病人建議最好的治療方案。
由於肉瘤一般對化療藥和電療敏感度低,不能完全殺死肉瘤細胞,所以手術切除病灶仍是最有效的方法,通常第一至三期的腫瘤都會以手術切除。但當然會按病人的病情需要、體質等,配合以其他治療方法。
整體來說,治療原則是提升存活率、減少局部腫瘤復發和維持肢體功能。

如以上所說,由於肉瘤一般對化療藥和電療敏感度低,不能完全殺死肉瘤細胞,所以手術切除病灶仍是最有效的方法,通常第一至三期的腫瘤都會以手術切除。
手術需要切除腫瘤和其附近正常組織,達致安全外科邊界(negative surgical margin)。
大部分長於四肢的肉瘤,在不影響安全手術邊界下,骨腫瘤醫生會進行保肢手術局部將腫瘤切除。
但如有以下情況,可能需要進行截肢手術,才能徹底清除腫瘤。
・肉瘤影響範圍太大,如已侵蝕鄰近的主要血管或神經。因為切除血管或神經後不能維持肢體血液循環或肢體神經功能;及
・經過多次手術切除腫瘤,腫瘤仍然復發。
如腫瘤體積巨大,切除腫瘤和附近組織後出現大面積的缺損、筋腱或骨頭外露,醫生會同時進行整形手術,使用顯微外科游離皮瓣來重建缺損的部位。
不同因素會影響手術的預後——手術邊界是其中一個重要因素影響日後腫瘤復發。其他因素如腫瘤細胞的毒性、手術是否切除透徹、病人對不同治療的反應和腫瘤細胞有沒有轉移,都會影響病人存活機會。腫瘤越在早期發現,治愈的機會越高。
如肉瘤屬於高度惡性或術後外科手術邊界不足,手術後輔助電療能減低局部復發機會。如有需要醫生亦會建議在動手術之前先做電療或是化療把腫瘤縮小,以便更有效做到保肢的同時,將腫瘤切除乾淨。

在手術前醫生會先替病人進行病理切片檢測和充分的影像檢查,以確定腫瘤的位置和需要切除的範圍,同時亦會作出其他檢查確定他的身體狀況能否承受手術。
如病人有需要(例如截肢手術),醫生亦會轉介病人會見臨床心理學家進行輔導,以減低日後因截肢帶來的心理創傷。同時亦會轉介病人會見物理治療師和職業治療師,由他們預先講解一些手術後需要的康復治療。

手術後病人可能肢體活動不佳,或需要輔助器走路,適當的康復治療有助病人盡快回復肢體功能,返回工作崗位。
・手術出血量視乎腫瘤切除大小,一般為數十毫升至一兩公升。出血量多可能引致休克,甚至致命;
・術後傷口感染,傷口可能不易或延遲癒合;及
・腫瘤和附近肌肉切除後,可能引致肢體無力。如神經線受損,功能欠佳肢體。

因腫瘤嚴重程度和不同手術切除範圍有所不同。如肢體活動不能或不良,肢體麻痺或萎縮。截肢病人可能出現幻肢痛 (Phantom limb pain)
手術後病人會感到疼痛而活動受到限制,醫生會提供適當的止痛方法。同時病人亦要逐步進行適當的訓練來恢復功能。如需要病人要使用護具如固定架、拐杖等,病人需要學習技巧和盡量適應。回家後亦要持續做運動和關節訓練,同時要小心防止跌倒。

在手術之後病人要接受監察,確保康復進度理想。之後亦要定期檢查偵察惡性細胞可有復發跡象。
(於2021年10月定稿)
